科研仪器

TGuide S16 全自动核酸提取纯化仪(OSE-S16)

小巧便捷,通量灵活(京昌械备20220098号)

未备注医疗备案号的产品均未获得医疗器械注册证,不可用于临床诊断或治疗,仅可用于工业或者科研领域非医疗目的用途。

产品规格
目录号 规格 目录价
OSE-S16 询价
产品简介

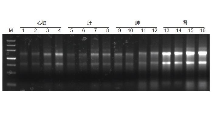
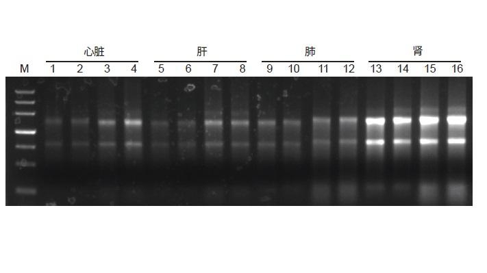
TGuide S16全自动核酸提取纯化仪采用磁棒吸附转移磁珠的方式,利用96孔板、单样本试剂条和磁棒套,同时操作1-16个样本,搭配不同种类的磁珠法核酸提取试剂,可完成质粒提取、琼脂糖凝胶回收纯化、动物、植物、细菌、真菌等多种样本的DNA/RNA提取纯化。

磁棒法核酸提取纯化原理

裂解液裂解样本后,游离于裂解/结合液中的核酸被磁珠特异性吸附,通过磁棒及磁棒套配合,完成磁吸、转移、释放和混合等动作使吸附核酸的磁珠与裂解/结合液分离,并在漂洗液孔将与磁珠非特异结合的各种杂质去除,最后使核酸分子溶解于洗脱液中。


产品特点
TGuide S16全自动核酸提取纯化仪及配套试剂耗材选择指南
实验结果
相关文档下载

快捷应用

  • 仪器服务小程序

  • NGS科服小程序

  • 产品订购小程序

  • 客服咨询小程序

  • 微信公众号

  • 直播间

  • 小红书

  • 抖音

  • CoA质检报告